Wujudkan Senyum Terbaikmu – Jadwalkan Konsultasi Behel Sekarang!
Orthodontic
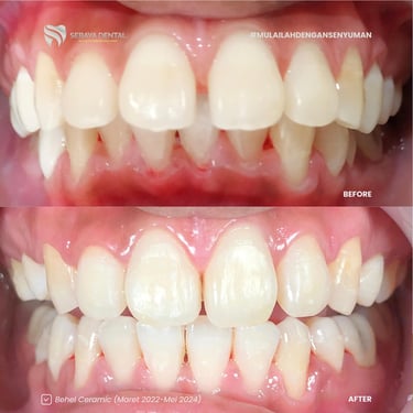
Behel menjadi solusi terbaik bagi Anda yang memiliki gigi tidak rapi, gigi tonggos ataupun untuk memperbaiki masalah gigitan, seperti overbite, underbite, atau gigitan silang. Perawatan ortodontik tidak hanya memperbaiki secara estetis, tapi juga dapat memperbaiki fungsi pengunyahan dan memperjelas artikulasi bicara.


Apa Itu Behel Metal Standar?
Behel metal standar adalah jenis kawat gigi yang paling umum dan dikenal. Terbuat dari stainless steel berkualitas tinggi, behel ini menggunakan braket kecil yang ditempelkan pada gigi dan dihubungkan oleh kawat fleksibel. Kawat ini memberikan tekanan lembut pada gigi, secara bertahap menggerakkannya ke posisi yang diinginkan.
Kelebihan Behel Metal Standar di Sebaya Dental
Efektif: Behel metal telah terbukti sangat efektif dalam memperbaiki berbagai masalah gigi, termasuk gigi berjejal, renggang, atau tidak rata.
Kuat dan Tahan Lama: Material stainless steel tahan lama dan mampu menahan tekanan yang diperlukan untuk pergerakan gigi.
Terjangkau: Dibandingkan dengan jenis behel lainnya, behel metal standar umumnya lebih terjangkau.
Perawatan Mudah: Membersihkan behel metal cukup mudah dengan menyikat gigi secara teratur dan menggunakan alat bantu seperti sikat interdental.
Apa Itu Behel Mini AO?
Behel Mini AO adalah jenis behel metal terbaru dengan desain yang lebih ramping dan nyaman. Braketnya lebih kecil dan tipis dibandingkan behel metal tradisional, sehingga terasa lebih halus di mulut dan mengurangi iritasi pada pipi dan bibir. Meskipun ukurannya kecil, behel ini tetap kuat dan efektif dalam menggerakkan gigi.
Kelebihan Behel Mini AO di Sebaya Dental
Kenyamanan Maksimal: Desain ramping dan halus meminimalkan ketidaknyamanan dan iritasi pada jaringan lunak mulut.
Estetika Lebih Baik: Ukuran braket yang kecil membuatnya kurang terlihat dibandingkan behel metal standar, memberikan tampilan yang lebih estetis.
Efektivitas Tinggi: Meskipun ukurannya kecil, kekuatan dan efektivitasnya dalam meluruskan gigi tetap terjamin.
Perawatan Mudah: Sama seperti behel metal lainnya, perawatannya mudah dengan menyikat gigi secara teratur dan menggunakan alat bantu pembersih.




