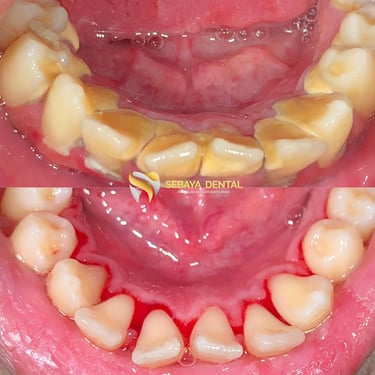
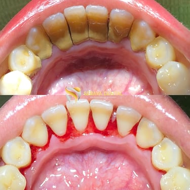
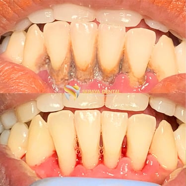
Scaling / Pembersihan Karang Gigi
Sebaya Dental berkomitmen untuk menjaga kebersihan dan kesehatan gigi Anda dengan layanan scaling gigi yang profesional dan efektif. Scaling gigi adalah prosedur penting untuk menghilangkan plak dan karang gigi yang tidak bisa diatasi hanya dengan menyikat gigi biasa. Kami menyediakan layanan scaling gigi yang nyaman dan berkualitas tinggi untuk membantu Anda mempertahankan senyum yang sehat dan bersih.
Dokter Gigi Berpengalaman
Tim dokter gigi kami yang profesional dan berpengalaman siap memberikan perawatan terbaik dengan pendekatan yang ramah dan menyenangkan.
Prosedur Nyaman
Kami memastikan prosedur scaling gigi dilakukan dengan cepat dan nyaman, meminimalkan rasa tidak nyaman bagi pasien.
Teknologi Modern
Kami menggunakan peralatan scaling ultrasonik terkini yang efektif dalam menghilangkan plak dan karang gigi tanpa merusak jaringan gigi dan gusi.
Keunggulan Layanan Scaling Gigi di Sebaya Dental:
Kebersihan Optimal
Scaling gigi membantu mencegah penyakit gusi dan kerusakan gigi dengan menjaga kebersihan mulut secara menyeluruh.





