Galeri Perawatan Tambal Gigi






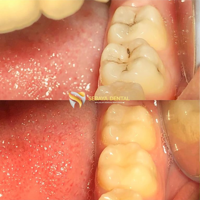
Tambal Gigi
Tambal gigi adalah prosedur untuk memperbaiki kerusakan gigi yang disebabkan oleh karies atau lubang. Dokter gigi akan menghilangkan bagian gigi yang rusak, membersihkannya, kemudian mengisi lubang tersebut dengan bahan tambal, seperti komposit resin, atau bahan lainnya, untuk mengembalikan bentuk dan fungsi gigi

